肠道病毒-D68(EV-D68)是一种呼吸道传播的新发病毒。自2014美国暴发大规模疫情以来,EV-D68已在全球范围内呈现持续流行趋势。其感染不仅引发儿童呼吸道症状,临床研究还发现其与急性弛缓性脊髓炎及中枢神经系统损伤密切相关。由于缺乏有效的防治手段,EV-D68正逐渐成为全球公共卫生安全的重大威胁。
近日,天津大学医学部生命科学学院王涛教授团队先后在《PLOS Pathogens》和《Journal of Virology》发表研究论文,深入揭示了EV-D68为代表的肠道病毒劫持宿主蛋白合成机器,促进病毒复制,实现免疫逃逸的新机制。
LARP1是一种RNA结合蛋白,能够通过调控TOP类mRNA的翻译参与细胞应激应答;PABPC1则是真核翻译起始中的核心蛋白,能稳定mRNA并促进其翻译。
发表于《PLOS Pathogens》题为“EV-D68 cleaves LARP1 and PABPC1 by 3Cpro to redirect host mRNA translation machinery toward its genomic RNA”的论文中,王涛团队报导EV-D68感染显著抑制宿主整体蛋白翻译水平,LARP1和PABPC1分别被病毒蛋白酶3Cpro和2Apro切割,而EV-D68切割削弱其翻译调控功能,达到削弱宿主翻译的目的;病毒可利用IRES介导的不同于宿主的翻译机制,增强病毒自身的蛋白合成和病毒复制。

团队进一步证实:在正常情况下,mTOR和CDK1被磷酸化,并使LARP1与结合宿主mRNA的5'帽分离(蓝色标记),这种分离允许招募翻译起始复合物启动mRNA 翻译。EV-D68感染后,mTOR和CDK1通路的激活受到抑制,从而阻止LARP1与结合的病毒mRNA(红色标记)分离,抑制病毒mRNA的翻译启动。为了克服这种抑制作用,EV-D68 3Cpro在Q371位点特异性切割LARP1,释放结合的病毒mRNA,启动病毒RNA翻译。同时,EV-D68还利用2Apro和3Cpro切割eIF4G和PABPC1,从而抑制帽依赖的宿主mRNA翻译,并抢夺被释放的翻译起始因子。因此,通过切割PABPC1和LARP1,EV-D68实现了对宿主蛋白合成机器的劫持。该研究系统揭示了EV-D68通过编码的蛋白酶切割宿主关键翻译调控因子LARP1与PABPC1,从而重编程定向宿主翻译程序,促进病毒自身复制的分子机制。

审稿人对该研究给予了高度评价:“作者做出了一项非常有趣和有见地的研究,这不仅是对肠道病毒领域的重要补充,而且更广泛地为LARP1对翻译的调节提供了有意义的见解。”
生命科学学院王涛教授和环境科学与工程学院王志云副教授为本文的共同通讯作者。生命科学学院硕士研究生谭汝阳、博士后黄梦倩和硕士研究生张玉玲为本文的共同第一作者。天津大学医学部生命科学学院为本论文第一完成单位。此工作得到了国家自然科学基金(32170144,32470146)的资助。
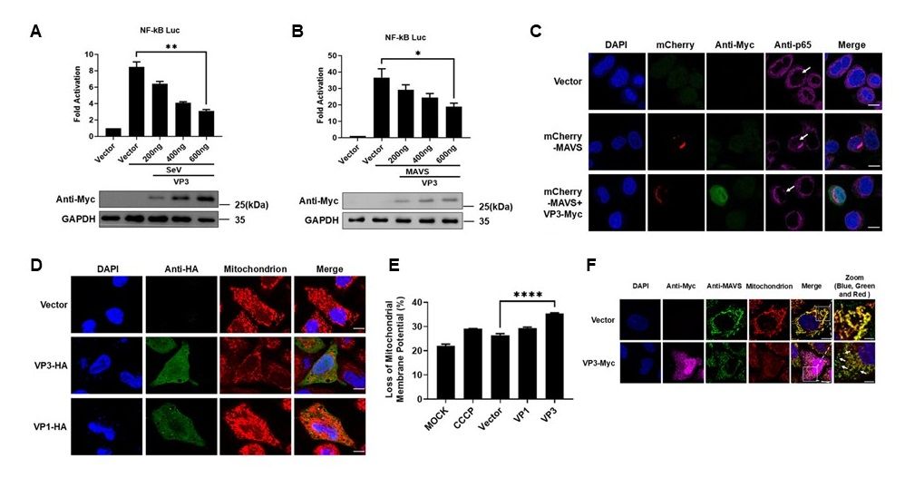
在发表于《Journal of Virology》题为“The structural protein VP3 of enterovirus D68 interacts with MAVS to inhibit the NF-κB signaling pathway”的论文中,王涛教授团队发现EV-D68结构蛋白VP3可以与线粒体抗病毒信号蛋白(MAVS)的跨膜(TM)结构域发生相互作用,显著抑制了NF-κB信号通路的的激活。同时VP3通过诱导线粒体损伤,导致MAVS从线粒体上解离,进一步影响其正常功能。该研究为肠道病毒新型抗病毒药物的开发提供了新的理论依据。
团队评估了EV-D68 VP3对NF-κB信号通路的调控作用,证实VP3可显著抑制NF-κB通路激活及下游炎症因子表达。同时通过观察线粒体形态与包含线粒体膜电位在内的线粒体生理指标发现EV-D68感染以及EV-D68 VP3的过表达均会导致线粒体损伤的发生,同时VP3还会诱导MAVS从线粒体上释放,并抑制MAVS的寡聚化,从而阻断MAVS介导的抗病毒信号级联反应。

基于以上结果,作者发现EV-D68 VP3与MAVS之间存在相互作用,其中VP3的C端的1-85氨基酸区域与MAVS的TM结构域是两者互作的关键,同时该团队还发现EV-A71与CV-A16的VP3同样能够与MAVS相互作用抑制NF-κB的激活,提示该免疫逃逸策略在肠道病毒中具有广谱性。
本研究深入探讨了EV-D68 结构蛋白VP3与MAVS介导NF-κB信号通路之间的关系,丰解释了肠道病毒结构蛋白介导的逃逸宿主先天免疫的新机制。为肠道病毒新的治疗和预防方案提供了一个新的潜在靶点。

生命科学学院王涛教授和环境科学与工程学院王志云副教授为本文的共同通讯作者。生命科学学院硕士研究生陈宏华、博士后黄梦倩和硕士研究生侯贝为本文的共同第一作者。天津大学医学部生命科学学院为本论文第一完成单位。此工作得到了国家自然科学基金(32170144)和国家重点研发计划 (2021YFC2600503)的资助。
文章链接:
https://doi.org/10.1371/journal.ppat.1013098
https://journals.asm.org/doi/10.1128/jvi.00163-25
(编辑 焦德芳 牛和旭)