本站讯(通讯员 武璇)发热伴血小板减少综合征病毒(SFTSV)是一种新发蜱传病毒,其感染将引发严重发热伴血小板减少综合征(SFTS),患者常出现严重发热、血小板含量降低、多脏器受损等症状,严重的甚至导致患者死亡。然而,目前尚无特效药物以及预防性疫苗应用于临床。因此,世界卫生组织将SFTSV感染列为十大亟待关注的传染病之一。
近日,来自天津大学医学部生命科学学院、天津大学合成生物技术全国重点实验室的王涛教授团队在《Science Bulletin》在线发表题为“RG7388 inhibits SFTSV replication by suppressing MDM2-mediated p53 degradation and preventing apoptosome disruption”的研究论文,该工作揭示了SFTSV感染诱发的线粒体损伤与细胞凋亡拮抗之间矛盾的分子机制,并依据研究成果发现抗癌药物RG7388具有良好的抗SFTSV效果。

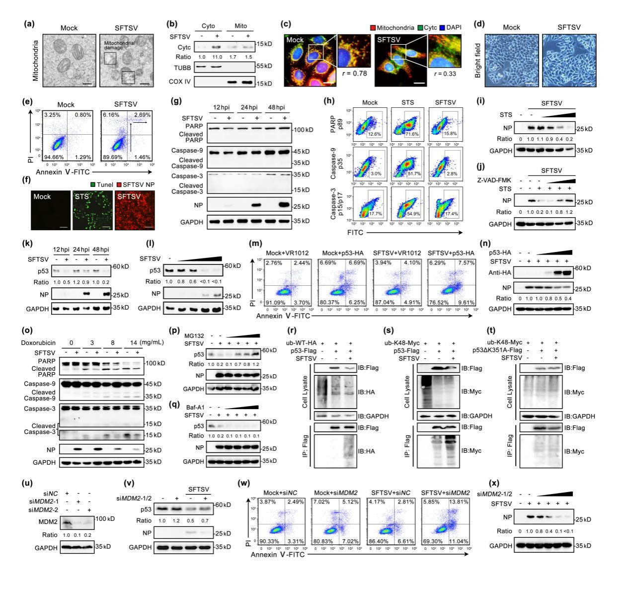
该研究首先全面表征了SFTSV诱导的线粒体损伤,并探讨了SFTSV与内源线粒体凋亡信号转导之间的关系。发现SFTSV可以促使Cytc转移至细胞质,但Caspase级联信号通路却未被激活。这表明SFTSV虽然触发了上游凋亡信号的启动,但并未导致凋亡过程的执行,提示SFTSV对凋亡信号具有调节作用。此外,团队还通过多组学整合分析的策略,发现SFTSV通过MDM2依赖的p53降解来抑制由线粒体氧化应激介导的凋亡发生。

SFTSV通过MDM2依赖的p53下调抑制细胞凋亡
之后,APAF1被鉴定为SFTSV感染期间p53调节的重要靶点,并通过抑制其转录活性来影响凋亡复合体的组装。在对病毒组分进行研究时,发现病毒核衣壳蛋白NP可以与p53相互作用,并抑制其入核,促使其降解。基于上述机制,团队发现MDM2抑制剂RG7388可以通过增强p53对氧化应激的响应来促使早期感染细胞的凋亡,进而抑制细胞以及类器官中的病毒复制。

RG7388通过恢复细胞凋亡敏感性来抑制SFTSV复制
本研究全面阐释了SFTSV与宿主内源线粒体凋亡信号的互作模式,深入探寻了以凋亡为靶点的SFTSV治疗可能性。同时,本研究发现三期临床抗癌药RG7388具有拮抗SFTSV的作用,这为SFTSV治疗提供了新的方向与理论依据。

RG7388通过增强凋亡敏感性抑制SFTSV复制的潜在机制
天津大学医学部生命科学学院博士研究生刘子翔、博士后黄梦倩、硕士研究生刘雨杨为本文的共同第一作者。天津大学医学部生命科学学院、天津大学合成生物技术全国重点实验室王涛教授以及天津大学环境科学与工程学院王志云副教授为本文的共同通讯作者。该工作得到了国家自然基金的资助。
原文链接:https://www.sciencedirect.com/science/article/pii/S2095927325006541?via%3Dihub